GÜNCEL POLİTİKA YEREL YÖNETİMLER EKONOMİ SPOR MAGAZİN RÖPORTAJLAR YAZAR CAFE FOTO GALERİ VİDEO GALERİ
Güncel
4 Temmuz 2023 Salı 12:50

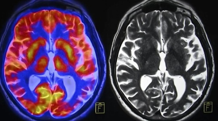
?nsanlar?n beyni küçülüyor!

Bilim insanlar? insan beyninin son 50 y?lda küçüldü?ünü aç?klarken, baz? uyar?larda bulundu.

Dünyan?n önde gelen üniversitelerinden Imperial College London’daki Beyin Kimyas? ve Beslenme Bölümü’nün direktörü olarak görev yapan ve alan?n?n en sayg?n isimlerinden biri olan profesör Michael Crawford aç?klamalarda bulundu.

Beyin ?çin G?da Vakf?’n?n bir etkinli?inde konu?an Crawford, kötü beslenme ve al??kanl?klar sebebiyle beynin kütlesinde ve IQ seviyelerinde ciddi bir kay?p oldu?unu duyurdu. Crawford, “IQ seviyeleri 1970’den beri dü?üyor ve bu gerçekten komik de?il. Çünkü e?er bu durum devam ederse homo sapiens türünün sonu gelebilir” dedi.

Beyin sa?l??? için beslenmenin öneminin kaç?r?ld???na dikkat çeken Crawford, beyin sa?l??? için ya?l? bal?klar?n daha s?k tüketilmesi gerekti?inin de alt?n? çizdi. Profesör Crawford, “Modern insan beyni, erken dönem atalar?m?z?n beyinlerine göre yüzde 17 oran?nda daha  küçük” dedi. Çocuklar?n ve onlar?n çocuklar?n?n da gelece?inin risk alt?nda oldu?unu belirten Crawford, hamilelerin ve çocuk sahibi kad?nlar?n da çocuklar?n emzirilmesi için omega-3 deposu bal?klar? tercih etmesi gerekti?ini söyledi.