GÜNCEL POLİTİKA YEREL YÖNETİMLER EKONOMİ SPOR MAGAZİN RÖPORTAJLAR YAZAR CAFE FOTO GALERİ VİDEO GALERİ
Güncel
12 Eylül 2021 Pazar 15:20

?a??rtan sonuç... Koronavirüs kanseri taklit etti!

Kahramanmara?'ta akci?er kanseri te?hisi konulan N.T.'nin (52) corona virüsü testi pozitif ç?kt?. Ameliyat öncesi tedavi gören N.T.'ye yap?lan tetkikler sonucu virüsün akci?er kanserini taklit etti?i tespit edildi.

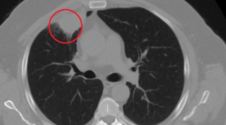
Kent d???nda çal??an N.T.’nin, gö?üs a?r?s? ?ikayetiyle gitti?i hastanede çekilen tomografisinde sa? akci?erinde 4 santimetre çap?nda tümör tespit edildi. Kanser olabilece?i ?üphesiyle yap?lan ileri tetkikler sonras? N. T.’ye akci?er kanseri te?hisi kondu ve acil ameliyat karar? verildi.

Bunun üzerine N.T., ameliyat için memleketi Kahramanmara?’a geldi. Sütçü ?mam Üniversitesi Sa?l?k Uygulama ve Ara?t?rma Hastanesi Gö?üs Cerrahi Anabilim Dal? Ö?retim Üyesi Dr. Fato? Kozanl? da tomografi ve test sonuçlar?na göre N. T.’ye akci?er kanseri te?hisi koydu ve ameliyat yap?lmas? gerekti?ini söyledi.

Ameliyat öncesi N.T.’nin Covid-19 testi pozitif ç?k?nca operasyon ertelendi. Corona virüsü tedavisine ba?lanan N.T.’nin son testi negatif ç?kt?. Dr. Fato? Kozanl?, tedavi sonras? tomografisi çekilen N.T.’nin akci?erindeki tümörün yok oldu?unu gördü. Kozanl?, N.T.’nin kendilerine ba?vurdu?unda corona belirtisi olmad???n? ancak ameliyat öncesi PCR testi yapt?klar?n? söyledi. Corona virüsü tedavisinin ard?ndan ortaya ç?kan sonucun kendisini de ?a??rtt???n? belirten Kozanl?, ?unlar? söyledi:

– Hastam?z, çal??t??? ba?ka bir kentte gö?sünden darbe al?yor ve a?r?lar? geçmeyince bir üniversite hastanesine ba?vuruyor. Burada hastaya bir akci?er grafisi çekiliyor. Sa? akci?erinde bir kitleye rastlan?yor. Daha sonra hastaya, bir akci?er tomografisi çekiliyor ve gö?üs cerrahisi için önemli büyüklükte olan 4 santimetre çap?nda, akci?er kanserine benzer özellikte radyolojik bulgular olan bir kitle tespit ediliyor. Daha sonra hastaya yap?lan ileri tetkiklerde akci?er kanseri te?hisi konuluyor. Hastaya bir cerrahi planlan?yor.

– Hasta Kahramanmara?l? oldu?u için kendi memleketine gelmeyi tercih ediyor. Bize ba?vurdu ve gö?üs a?r?s? ?ikayeti vard?. Öksürük, nefes darl???, balgam ç?karma, ate? gibi ?ikayetleri yoktu. Hastay? biz de de?erlendirdik ve ameliyat olmas?na karar verdik. Çünkü akci?er kanserine çok benzer radyolojik bulgular? vard?. Sa?l?k Bakanl???m?z?n kurallar? gere?i her hastay? ameliyat öncesi PCR testi yap?l?r. Biz de ameliyat gecesi hastadan PCR testi ald?k ve testi pozitif geldi. Ameliyat?m?z? 14 gün erteledik ve hastam?za corona tedavisi uyguland?.

– 14’üncü gün tekrar bize ba?vurdu ve yap?lan PCR testi negatif ç?kt?. Yeni bir tomografi çektik ve tümörün tamamen ortadan kalkt???n? gördük. ?imdi sonuç bilgilerinden ba?lang?ca gitti?imizde, bu bir akci?er kanseri olsayd?, ortadan kalkmas? mümkün de?ildi. Ba?ka bir patolojiye ba?l? durum olsayd?, yine verdi?imiz tedaviyle ortadan kalkmas?n? çok beklemeyiz. Antiviral tedavisi verdik ve hastan?n radyolojik bulgular? neredeyse tamamen normale döndü. Hastaya bunu izah ettik, ‘Dünya literatüründe hiç görülmeyen bir radyolojik bulgu’ diyerek. Bu gördü?ümüz manzara art?k hastan?n akci?er grafisinde yok, akci?er kanseri de?il.

Genel olarak dünya literatürüne bakt???m?zda virüsün akci?er bulgular?, radyolojik bulgular? infiltrasyon, buzlu cam dansitesi gibi bilinen bulgular. Ama bizim hastam?zda akci?er tümörünü taklit eden bir kitle vard?. Ve biz bunu dünya literatüründe hiç görmemi?tik. Bununla ilgili geni? çapl? bir ara?t?rma yapt?m. Hem kendi deneyimlerimden hem kendi hastanemizde yatan hastalardan yola ç?karak birçok hastan?n radyolojik bulgular?na bakt?k. Dünya literatürlerini kar??t?rd?m, di?er arkada?lar?ma dan??t?m, benzeri bulguya rastlamad?m.