GÜNCEL POLİTİKA YEREL YÖNETİMLER EKONOMİ SPOR MAGAZİN RÖPORTAJLAR YAZAR CAFE FOTO GALERİ VİDEO GALERİ
Güncel
19 Eylül 2021 Pazar 18:31

Koronavirüse yakalanan 8 ya??ndaki çocuk felç oldu

ABD'de ya?ayan 8 ya??ndaki Avella Braun, koronavirüsün ard?ndan yakaland??? ADEM hastal??? nedeniyle felç geçirdi.

Koronavirüse yakalanan 8 ya??ndaki ABD'li çocuk son derece nadir görülen bir durumla kar?? kar??ya kald?.

Minnesota'da ya?ayan Avella Braun Mart ay? ba?lar?nda virüse yakaland?ktan sonra tüm hayat? de?i?ti.

The Mirror gazetesinde yer alan habere göre, Braun koronavirüs nadir görülen oto-ba????kl?k hastal???n? tetikledikten sonra felç kald?.

'ADEM' TE?H?S? KONULDU

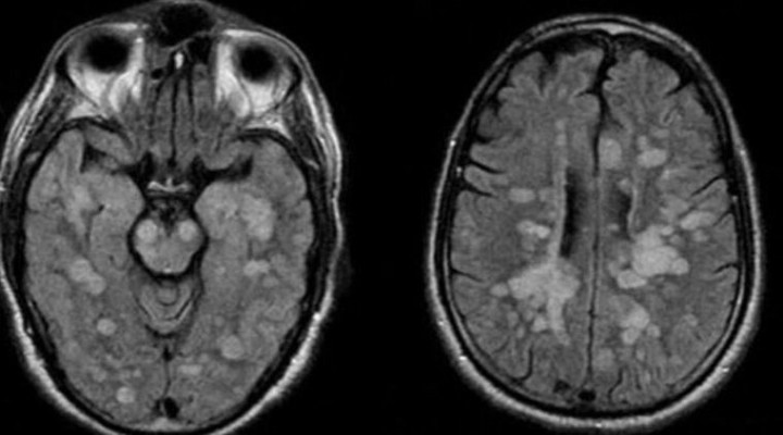
Talihsiz çocu?a vücudun ba????kl?k sistemi kendisine sald?rarak omurilik ve beynin ?i?mesine neden olan nadir bir akut yay?lm?? Ensefalit (ADEM) te?hisi koyuldu.

Avella’n?n doktoru Dr. Michael Pitt, "Bu vakada ya?ananlar?n en büyük tetikleyicisi koronavirüs olmu?tur” dedi.

Braun’un Akut dissemine ensefalomyelit (ADEM) santral sinir sisteminin immun arac?l?kl? bir bozuklu?una yakaland??? bildirildi.

T?p uzmanlar?, Haziran ay?nda koronavirüs ve ADEM aras?ndaki ba?lant?y? kurmaya ba?lad?klar?n? aç?klam??t?.

Uzmanlar, dünyada, koronavirüs atlatan ki?ilerde benzer vakalara rastlad?klar? konusunda uyar?yor.