GÜNCEL POLİTİKA YEREL YÖNETİMLER EKONOMİ SPOR MAGAZİN RÖPORTAJLAR YAZAR CAFE FOTO GALERİ VİDEO GALERİ
Güncel
20 Haziran 2023 Salı 09:22

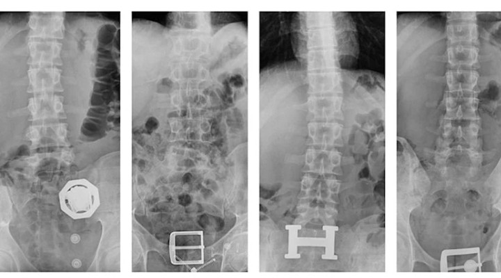
4 ?üphelinin midesinden 121 parça eroin ç?kt?!

Diyarbak?r'da, bir otomobildeki 4 ?üphelinin midelerinde 121 parça halinde 840 gram eroin tespit edildi. Uyu?turucu ç?kar?l?rken, 4 ?üpheli tutukland?. 

Diyarbak?r ?l Emniyet Müdürlü?ü Narkotik Suçlarla Mücadele ?ube Müdürlü?ü ekiplerince yap?lan çal??malarda, do?u illerinden Diyarbak?r’a geldi?i tespit edilen otomobil, Ba?c?lar Mahallesinde durduruldu. ?çinde bulunan 4 ?üphelinin üst aramalar?nda herhangi bir suç unsuruna rastlan?lmad?. Ancak ?üpheliler, tedirgin haller sergilemeleri ve rahats?zl?k belirtisi vermeleri üzerine, hastaneye götürüldü.

4 ?üphelinin çekilen röntgenlerinde midelerinde 121 parça halinde 840 gram eroin tespit edildi. Uyu?turucular, yap?lan tedavinin ard?ndan ç?kar?ld?.

?üpheliler, i?lemlerinin ard?ndan sevk edildikleri adliyede ç?kar?ld?klar? mahkemece ‘Uyu?turucu veya uyar?c? madde ticareti yapma veya sa?lama’ suçlar?ndan tutuklanarak cezaevine gönderildi.